Областной центр спецмедпомощи в микрорайоне Пиганово города Владимира рассказывает об очередном сложном пациенте, которому оказали помощь в больнице, известной далеко за пределами Владимирской области.
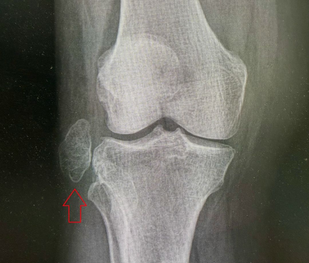
На прием в Пигановский центр обратилась 70-летняя женщина с болями в области коленного сустава при ходьбе, а также простреливающими болями по ночам. Проблема - достаточно распространенная и сильно осложняющая жизнь таких пациентов. У пенсионерки диагностировали оссификат коленного сустава.
Оссификат (остеофит) коленного сустава — это костный нарост, который появляется в результате дегенеративно-дистрофического процесса и воспаления в суставах. В народе остеофиты часто называют «костными шипами». Некоторые факторы, которые могут спровоцировать развитие остеофитов:
- дегенерация и нарушение плотности костной ткани;
- механические повреждения;
- суставная нестабильность;
- остеоартрит;
- нарушение кальциевого обмена;
- системные патологии (заболевания соединительной ткани, аутоиммунные заболевания);
- отягощённая наследственность.
Чаще всего остеофиты образуются на боковых поверхностях суставов или в околосуставных тканях. Симптомами «костного шипа» в колене являются трудности со сгибанием и разгибанием сустава, болезненность во время движений, в запущенных случаях боль не отступает и в состоянии покоя, наблюдается отёчность, деформация сустава.
При осмотре, а также после изучения предоставленных обследований женщине было предложено оперативное лечение. Как уточняют в Центре спецмедпомощи, сложность операции заключалась в расположении малоберцового нерва непосредственно рядом с опухолью, которая достигла размеров куриного яйца.
Оперативное лечение потребовало микрохирургической техники, нерв был полностью выделен, а опухоль удалена. Уже на следующий день пациентка смогла ходить без боли с полной нагрузкой на конечность, говорят специалисты Пигановского центра.
Telegram-канал Зебра ТВ: новости в удобном формате.
