Врачи вернули девушке с гигантским пальцем возможность носить нормальную обувь

Областной центр спецмедпомощи в Пиганово Владимирской области провел операционную коррекцию пальца стопы 17-летней пациентке с парциальным гигантизмом – редкой врожденной аномалией развития, проявляющейся сильным ростом отдельных частей тела
Новости Автор: 10 декабря 2025, 09:30 4227
Фото «Областной центр спецмедпомощи»

Об успешной операции пациенту с редким отклонением рассказывает Областной центр спецмедпомощи, который известен далеко за пределами региона как Пигановский центр.

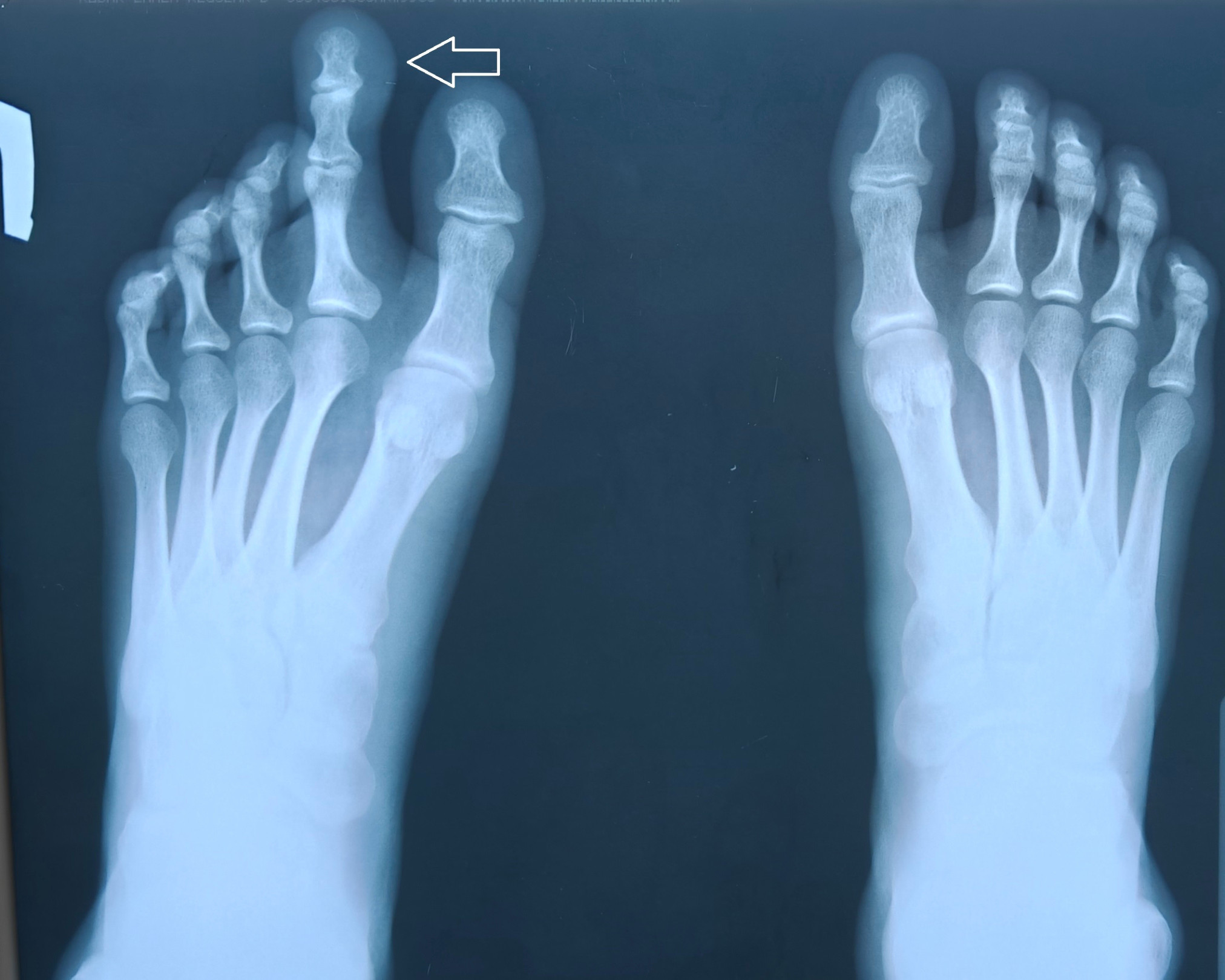
На консультативный прием к специалисту медучреждения обратились 17-летняя девушка со значительным увеличением II пальца левой стопы. Это стало следствием редкой врожденной аномалии развития.

Парциальный гигантизм (синдром Протея) — редкое врождённое заболевание, при котором увеличивается определённая часть тела (гипертрофируются мягкотканные и костные структуры). Чаще всего патология врождённая, но схожие клинические проявления могут иметь и приобретённый характер, например, после нейроинфекций. Частота: менее 1 случая на 1 миллион населения. Чаще всего в патологический процесс вовлекаются пальцы стопы или кисти. При рождении признаки заболевания отсутствуют, симптомы обычно появляются на первом-втором году жизни.
lqfsF5mNmrYhFRbaL_6cYa9K4sTV.jpg
VqzIYO_b1kN9.jpg

Девушка с гигантским пальцем на ноге жаловалась на то, что стопа выглядит некрасиво, и что ей трудно подобрать себе обувь. Травматологом-ортопедом было назначено оперативное вмешательство с целью коррекции аномалии. Операцию провели врачи отделения травматологии и ортопедии №1.

K6wXtn1vYhqHraz5ufosraNq.jpg

В ходе операции пациентке была выполнена реконструкция II пальца стопы - укорачивающая остеотомия с фиксаций костных фрагментов спицей и удаление избыточных мягких тканей.

«В результате оперативного вмешательства был сформирован косметически и функционально полноценный палец, к невероятному восторгу и огромной благодарности пациентки врачам отделения и всей операционной бригаде», - рассказывают в Пигановском центре спецмедпомощи.

Telegram-канал Зебра ТВ: новости в удобном формате.


Для улучшения работы сайта и его взаимодействия с пользователями мы используем файлы cookie и сервисы Яндекс.Метрика и LiveInternet. Продолжая работу с сайтом, вы даете разрешение на использование cookie-файлов и согласие на обработку данных сервисами Яндекс.Метрика и LiveInternet.
Вы всегда можете отключить файлы cookie в настройках браузера.