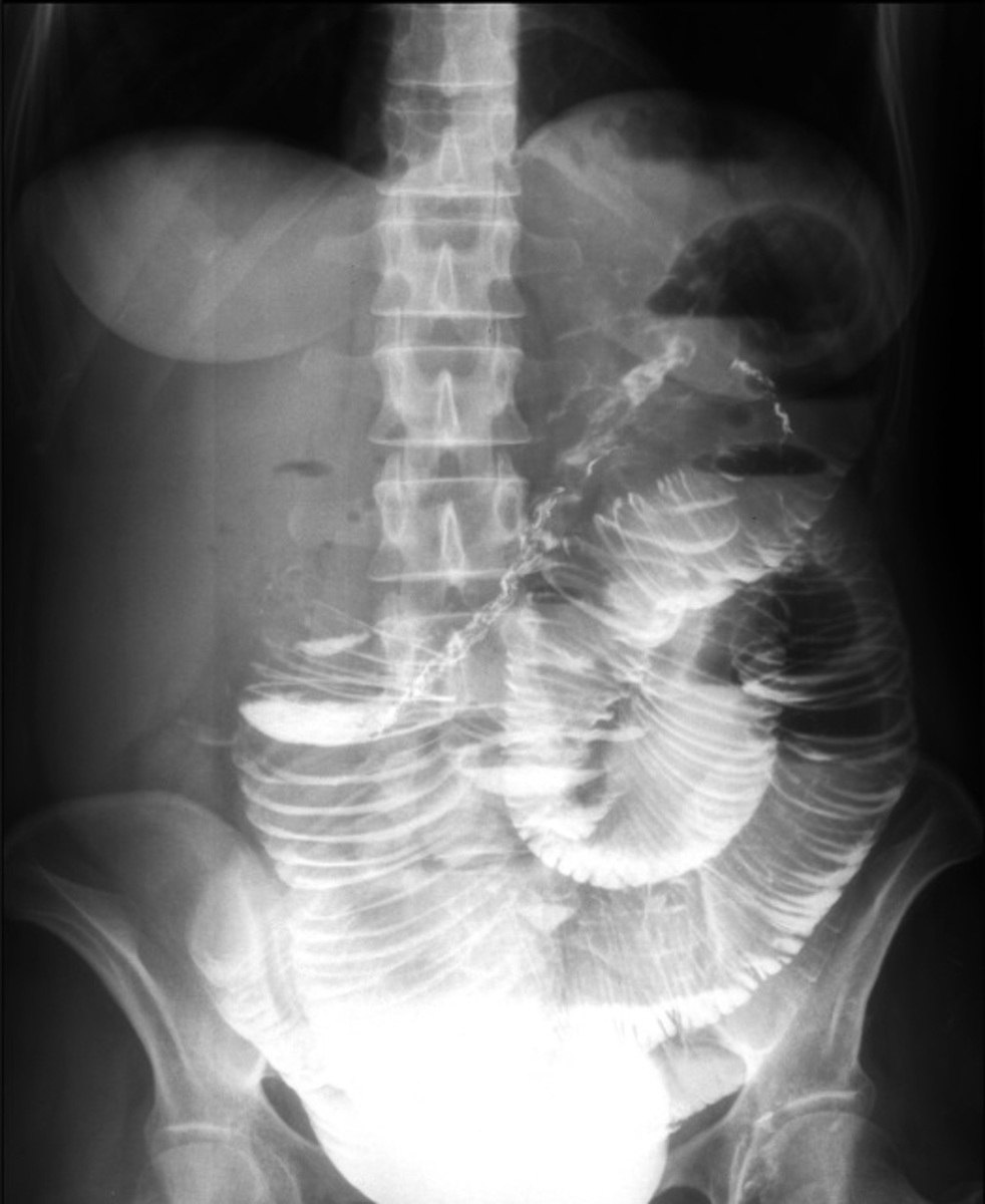
Врачи Областной детской клинической больницы прооперировали девушку с патологией, которая в 90% случаев встречается у детей до года. Как рассказывают в главной детской больнице Владимирской области, 16-летнюю пациентку привезли в ОДКБ на скорой помощи. Девушка попала в больницу с жалобами на сильные боли в животе, многократную рвоту и вялость. Ее госпитализировали по экстренным показаниям с подозрением на кишечную непроходимость.
Фото пресс-службы ОДКБ города Владимира
В ходе срочной операции врачи хирургического отделения ОДКБ выявили два многоцилиндровых инвагината. Врачам удалось провести расправление обоих инвагинатов. В составе одного из них была обнаружена опухоль размерами 5*5*5 см, которая была удалена во время операции.В ОДКБ уточняют, что девочка уже выписана домой и чувствует себя хорошо.
Инвагинация кишечника — это внедрение одной части кишки в другую, в результате которого развивается кишечная непроходимость. Чаще инвагинация кишечника встречается у детей в возрасте от 4 до 9 месяцев (85 – 90% случаев). Мальчики страдают в два раза чаще девочек.
Дополнительными факторами риска могут стать:
-
вирусные и кишечные инфекции;
-
усиленная моторика (например, в ответ на приём слабительных);
-
кишечная форма аллергии;
-
муковисцидоз;
-
туберкулёз брюшины и кишечника.
Telegram-канал Зебра ТВ: новости в удобном формате.
